La formation

Chirurgie muco-gingivale

Vers l’excellence clinique ! 

Prochaine session le 6 et 7 novembre 2025 à Paris

Deux jours de formations pour développer et maitriser les connaissances théoriques et techniques indispensables à la gestion des tissus mous. Vous apprendrez les techniques de greffe épithélio-conjonctive, de tunnelisation, ainsi que la méthode VISTA modifiée en parodontologie. Que vous soyez débutant ou expérimenté en chirurgie plastique parodontale, cette formation est conçue pour vous faire progresser !

Objectif de la formation

✅ Acquérir une maîtrise complète des techniques de chirurgie plastique parodontale.

✅ Développer cette activité en cabinet avec des résultats garantis.

S'inscrire

PROGRAMME

Introduction à la microchirurgie parodontale : objectifs et concepts.

✅ Classifications, diagnostics et pronostics associés.

✅ Analyse des situations cliniques :

  1. Gestion de la jonction amélo-cémentaire.

  2. Choix thérapeutique et arbre décisionnel.

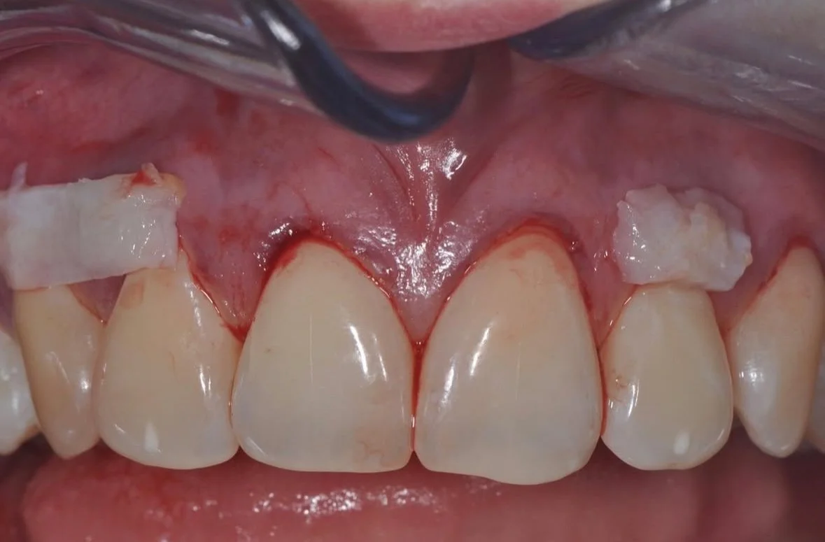
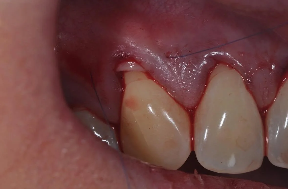
✅ Techniques chirurgicales :

  1. Greffe épithélio-conjonctive.

  2. Tunnelisation classique.

  3. Tunnelisation modifiée (VISTA).

✅ Prélèvements :

  1. Anatomie des sites donneurs.

  2. Techniques de prélèvement (tubérositaire, palatin).

🚧 Travaux pratiques : Prélèvements et sutures microchirurgicales.

Objectifs pratiques :

  1. Maîtriser les différentes techniques de suture en chirurgie mucogingivale.

  2. Réaliser un prélèvement reproductible adapté au palais ou aux tubérosités.

Jour 1 : Les fondamentaux - Prélèvements et sutures

Jour 2 : Perfectionnement – Entraînement intensif en microchirurgie

90 % du temps dédié aux travaux pratiques sur mâchoires de porc.

✅ Étapes opératoires et instrumentation.

✅ Mise en pratique des techniques chirurgicales :

  1. Greffe épithélio-conjonctive.

  2. Tunnelisation classique.

  3. Tunnelisation modifiée (VISTA).

ℹ️ Informations pratiques

Nous mettons à disposition tout le matériel nécessaire : modèles de travail, instruments microchirurgicaux, sutures… Toutefois, pour tirer pleinement parti de la formation, nous vous recommandons d’apporter vos loupes (grossissement idéal entre x2,5 et x4,5) ainsi que votre cassette de microchirurgie. Cela vous permettra d’affiner votre gestuelle avec les outils que vous utiliserez après la formation.

Nos partenaires

S’inscrire à la formation

Prochaine session le 6 et 7 novembre 2025 à Paris

Je m'inscris